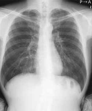
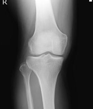
エックス線を利用して検査をするいわゆる“レントゲン撮影”です。
胸部、腹部、全身の骨の撮影を行います。心臓の大きさや肺の異常陰影、ガスの状態や骨の形、骨折の有無、関節の状態などがわかります。


私たち診療放射線科はエックス線を利用した一般撮影検査、CT検査、透視撮影、骨密度検査、また、MRI検査等を行っています。
画像診断に必要な高度なスキルを身に付けるため日々研鑽し、患者様一人ひとりの状況に合わせ適切に対応して低被ばく且つ高画質な画像を提供できるよう努めております。
休日はもちろん夜間の撮影もオンコールで対応し24時間365日地域の皆様方に迅速に画像診断が提供できるよう体制を整えております。

エックス線を利用して検査をするいわゆる“レントゲン撮影”です。
胸部、腹部、全身の骨の撮影を行います。心臓の大きさや肺の異常陰影、ガスの状態や骨の形、骨折の有無、関節の状態などがわかります。


当院ではフラットパネル(FPD)というシステムを導入し従来よりもエックス線の感度が高く低被ばくで撮影ができるようになりました。撮影効率も向上し撮影待ち時間も短縮しています。





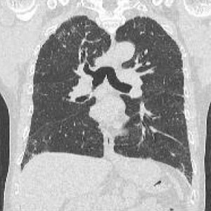
CTとはComputed Tomography(コンピュータ断層撮影)の略です。
検査はエックス線を利用し体の断面を撮影します。頭から全身に至るまで様々な検査が可能です。当院では80列マルチスライスCTを導入し短時間で低被ばくかつ高精細な検査が可能となりました。



脳血管障害、脳腫瘍、頭部外傷、顔面骨骨折、副鼻腔炎、甲状腺疾患、肺炎、肺がん、食道がん、肺塞栓、縦隔疾患、消化管疾患・がん・炎症、泌尿器疾患、婦人科疾患、大動脈瘤、脊椎骨折、骨盤骨折、上下四肢骨折、下肢動静脈疾患など

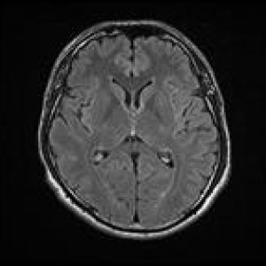
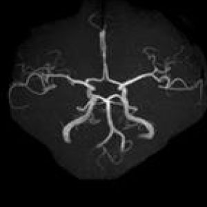
MRIはMagneticResonanceImageの略で強い磁石と電波によって人体の構造を見ることが出来る検査です。
頭部領域から脊椎・関節・骨疾患、腹部に至るまで全身部位の診断に役立ちます。






脳梗塞、脳腫瘍、脳動脈瘤、頚髄症、椎間板ヘルニア、脊柱管狭窄症、脊椎圧迫骨折、腱板損傷、各関節靭帯損傷、半月板損傷、骨壊死、肉離れ、骨腫瘍、軟部腫瘍、炎症、など
心臓ペースメーカー、脳動脈クリップ、人工心臓弁、血管ステント、など体内金属がある方など検査ができない場合があります。詳しくは当院スタッフにお問い合わせください。

エックス線を利用して体内をリアルタイムに見ながら検査を行います。胃のバリウム検査や腸のバリウム検査、骨折、脱臼の整復術や神経根、脊髄腔造影、嚥下造影(VF)など多岐にわたり検査を行っております。



骨密度を測定する装置です。前腕を2分程度で測定します。
骨密度が低下する骨粗鬆症は背骨(脊椎)や脚の付け根(大腿骨)手首(橈骨)などの骨折の原因となります。
骨密度を定期的に測定することで骨密度の減少を早期に発見し骨粗鬆症の予防・治療をすることが可能です。
ご希望の方は主治医にご相談ください。

左記の骨密度総合検査結果をお渡しします。